미소그린치과를 이용해주셔서 감사합니다.
교정치료란?
덧니, 뻐드렁니, 주걱턱, 옴니등의 부정교합을 치료하는 것을 의미하며, 교정치료를 통해 예쁜 치열을 가지게 될 뿐 만 아니라 윗니와 아랫니가 정상적으로 맞물리게 됨으로서 음식을 씹어 삼키는 기능도 좋아지고, 발음도 개선되며, 얼굴모 양도 예뻐지게 됩니다. 또한 현재상태는 심각한 증상이 나타나지 않았더라도 성장하면서 부정교합으로 발전할 가능성을 조기에 발견하여 이를차단, 예방하는 치료도 포함합니다.
교정치료의 목적
교정치료를 받고자 하시는 분들께서는 한번쯤은 꼭 궁금하신 사항이죠.
교정치료는 단지 미적인 관점 뿐만 아니라 기능적, 심리적인 면도 동시에 고려하여야 하는 치료입니다.
교정치료를 받아야하는 이유를 간단히 요약해드리면
첫째, 교정치료를 통해 더욱더 건강한 치마를 가지게 됩니다. 잘못 배열된 치마를 예쁘게 배열함으로서,
기능적인 개선으로 음식을 잘 씹어먹을수 있으며, 충치나 잇몸질환이 생길 가능성도 현저히 줄어
들게 됩니다. 또한 경우에 따라서 발음의 교정효과도 볼수 있답니다.
둘째, 미적 개선입니다. 대부분 교정환자의 경우 치료전후 얼굴모습의 많은 개선을 볼수 있습니다.
이는 교정치료가 갖는 대단한 매력이지요.
셋째, 더욱더 자신감과 밝은 성격을 갖게 됩니다. 비뚤어진 치마나 튀어나온 입술을 가지신분의 경우
남에게 알릴수 없는 콤플렉스로 작용하던 것이 교정치료로 해소됩니다. 따라서, 사회생활 학교
생활에서 더욱더 자신감을 갖고 학업이나 직장생활을 할수 있게되며 고른 치열과 안모의 개선
으로 적극적이고 활달한 성격을 갖게 된답니다.
언제 교정치료를 시작하면 좋을까요? (교정치료의 시기)
적절한 시기란 여러분이 교정치료를 받아야겠다고 결정하는 그 순간입니다. 물론 부정교합의 종류와 정도에 따라 치료의 시기와 방법은 매우 달라집니다. 성장기 아동의 경우 턱에 문제가 있는 소위 “골격적 문제”가 동반된 경우에는 발견 즉시 교정검사를 시행하여야 합니다. 특히 주걱턱이라고 불리는 반대교합의 경우에는 심하면 4-5세경부터 관찰을 하여 각자에 맞는 교정시기를 결정하여야 결과를 좋게 할 수가 있습니다. 무턱 혹은 윗턱의 돌출의 경우, 늦어도 사춘기 이전에 검사하여 교정시기를 정해야 하는데, 여자 아이인 경우 초등학교 3-4학년, 남자 아이는 4-5학년때 정밀검사를 통해서 턱교정이 필요한지를 확인하여야 합니다. 만일 골격적인 문제가 없는 단순한 덧니 등의 부정교합을 치료하는 시기는 대개 모든 영구치가 맹출하여 치근형성이 어느정도 이루어진 12-13세경입니다. 여자 아이인 경우 4-5학년, 남자아이들은 초등학교 5-6학년때 즈음해서 교정검사를 받아서 그시기를 결정하는 편이 좋습니다. 예전에는 단순히 청소년이나 아동에서만 교정에 관심을 갖고 그 때를 놓치면 교정이 불가능하다고 생각하던 경향이 있었습니다. 현재 교정환자의 25%가 성인으로서 연령과 교정치료의 성공여부와는 큰 관련성이 없습니다. 성인의 경우 대개 안모의 개선이나 치열의 건강증진을 위해 교정의사를 방문하게 되는데 교정치료의 늦은 나이란 없습니다. 물론, 청소년이나 성장기 아동보다는 성인의 경우 치아이동속도가 느려 치료기간이 증가할 수는 있으나, 최근 발전된 교정학문은 그 격차를 많이 줄이고 있으므로 언제든지 교정전문의를 찾아 상담을 받아보세요.
교정치료의 과정은 어떻게 되나요? (교정치료의 과정)
교정치료를 위해 치과를 방문하시면 간이 상담을 먼저 받게 됩니다.
간이상담은 간이 임상검사 (쉽게 말씀드려셔 얼굴과 입안을 대략적으로 보는 것입니다.)
를 통해 대략적인 유사한 다른 환자분들의 예를 통해 치료가 이렇게 될 것이라 상담해드리는 것이지요.
이후 교정치료에 대한 자세한 치료계획을 알고 싶으시면 교정치료를 위한 교정 진단자료를 준비합니다.
교정치료는 다음과 같은 순서로 대부분 이루어집니다.
1) 진단
첫방문시 촬영한 X-ray사진과, 구내사진 및 얼굴사진, 치아모형등을 바탕으로 정확한 치료계획을 수립하게 되며 환자분에 적합한 교정치료방법을 결정하게 됩니다.
환자분의 자료를 과학적인 데이터베이스를 통해 분석하여 치료 계획을 정확히 수립해야 하므로, 교정진단 자료를 채득한 후, 빠르면 하루, 늦게는 2-3일 후에 교정 진단을 받게 됩니다.
2) 일반치과치료 및 발치
교정치료를 하기 전 필요하다면 충치치료나 잇몸 치료,스케일링 등을 받아야 하는 경우가 있습니다.
악관절 질환이 있을 경우 관절에 대한 치료를 먼저 받고 교정장치를 부착할 수도 있습니다.
교정치료계획이 발치를 우선으로 한 계획일 경우 발치를 먼저 할 수도 있습니다.
3) 교정장치의 부착
교정장치를 구강내에 부착하게 됩니다. 대개 치과에 2-3번 방문하셔야하며 소요되는 시간은 30분-1시간 내외입니다.
처음 장치를 부착할 때 가장 시간이 많이 소요되며, 그 외 치료기간동안에는 치료시간이 그리 길지는 않습니다
4) 교정치료기간
대개 1년에서 2년반 정도의 기간이 걸리는데, 진단과정을 통해 치료방법이 결정되면 본인의 예상되는 치료기간을 알 수 있습니다.
보통 3-4주에 한번 치과에 내원하게 되며, 단계별로 철사를 교환하거나 고무체인을 교환하는 치료를 받습니다.
5) 교정장치의 제거
동적인 치료가 종료되면 교정장치를 제거하게 됩니다. 환자와 의사 모두가 즐거운 시간입니다.
6) 유지기간
치료가 종료된 후 재발을 방지하기위해 교정장치 제거 다음날 유지장치(보정장치)를 부착하거나 착용하게 됩니다. 이 기간은 1년-2년 정도입니다.
교정치료의 과정은 어떻게 되나요? (교정치료의 과정)
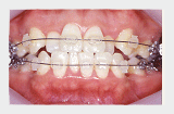
금속장치 (metal appliance)
일반적으로 가장 많이 사용되는 장치로서, 금속으로 된 장치가 외부로 노출되어 보입니다. 그러나 치료비용이 저렴하고 관리하기가 편리합니다.
투명교정장치 장치가 투명하거나 치아와 같은 색을 띄고 있기 때문에 금속장치보다 훨씬 눈에 덜 띄고 심미적입니다. 기능적으로도 금속에 뒤지지 않습니다.도자기와 플라스틱 두 종류가 있습니다.
설측교정장치 (lingual appliance)
기존의 교정장치와 원리는 유사하지만 외부로의 노출이 전혀없는 치아안쪽으로 붙이는 장치가 개발되어 현재는 보편화된 교정장치의 한 종류로 사용되고 있습니다. 이 장치는 기존 장치와 약간 다른 모양이며 장비와 기술이 요구됩니다. 아래턱, 위턱 모두에 사용할 수도 있고 기존의 바깥에 붙이는 장치와 병용해서 사용할 수도 있습니다.
적자유롭게 뺐다 꼈다 할수 있는 장치를 이용한 치료법입니다. 1차교정에 사용되는 장치도 포함되며, 간단한 치아이동을 위한 장치,고정식 교정장치로 치료가 종료된후 착용하는 보정장치등이 가철식 교정장치에 포함됩니다. 이런 장치들은 환자의 협조도가 치료의 결과에 중요한 영향을 미치기 때문에 선생님의 지시에 잘 따르셔야 좋은 결과를 얻을수 있습니다.
구강외로 사용하는 교정장치로, 대부분 청소년기나 성장기에 골격적인 이동을 위한 악정형장치로 사용하는 것입니다. 일반적으로 윗턱이 아래턱보다 많이 돌출된 아동에서는 “헤드기어”라는 턱교정장치를 사용하며, 아래턱이 많이 돌출된 경우에는 “훼이스 마스크”또는 “친캡(턱모자)”이라는 장치를 사용하게 됩니다. 대부분의 장치가 입안에 부착되어있는 교정 장치와 머리 혹은 턱에 쓰는 구외장치를 고무줄로 연결하여 턱에 교정력을 가하도록 설계되어있습니다. 턱이 이상하다고 모든 사람에게 이 장치를 사용할 수는 없습니다. 이 장치는 성장을 유도하거나 촉진시킴으로써 교정이 되는 것이기 때문에 성장잔여량 등을 정밀히 분석한 후 신중히 시도되어야 하는 장치입니다. 너무 조기라면 치료시기를 적절한 때로 옮길 수 있지만, 늦어지면 얼굴모양을 개선하는 것이 힘들어질 수 있으므로, 얼굴모양이 좀 이상하다고 생각하시면 바로 교정전문의에게 보이고 상담 받으실 것을 권해드립니다.
투명필름교정장치는 금속으로 된 와이어나 브라켓을 사용하지 않고 투명하게 만들어져 치열을 교정할 수 있는 장치입니다
교정치료가 완료된후 치아는 원래의 자리로 돌아가려는 성질이 있습니다. 이를 막기위해 치료된 상태를 유지하기 위한 장치를 보정장치(retainer)라고 합니다. 보정장치에는 고정식 장치와 가철식 장치가 있습니다.
치아의 움직임에 저항하는 것을 고정원(anchorage)이라고 하는데, 적절한 고정원이 없거나, 절대적인 교정원이 필요한 경우에 이것을 이용하게 됩니다. 형태는 작은 나사처럼 되어 있고, 잇몸뼈에 심어서 사용합니다. 최근에 개발되어 사용하는 장치입니다만, 시술이 간단하고 생활에 큰 불편함이 없으며, he헤드기어 등의 구외장치를 어느정도 대신 할 수 있기 때문에 선호하는 추세입니다. 염증이 있거나 과도한 힘을 받다보면, 스크류가 느슨해지거나 빠지는 경우가 있습니다. 만일 스크류가 빠지면 걱정하지 마시고 치과로 내원하세요. 간단하게 다시 심으면 됩니다.
이를 꼭 빼야 하는가는 교정치료에 대하여 가장 많이 받는 질문 중의 하나입니다. 교정치료를 시작하면서 발치 여부를 결정하는 것은, 치료 전 과정에서 가장 중요한 일이라고 하여도 과언이 아닙니다. 발치 여부는 환자의 안면 골격, 입 주변의 얼굴 모습, 치열에서의 공간 부족 정도, 위아래 치열의 맞물림 등 여러 사항들을 면밀하게 검토하여 결정하게 됩니다. 대개 덧니가 심하여 잇몸뼈에 모든 치아가 배열될 공간이 없다든가, 입이 돌출된 경우에 발치가 필요하게 됩니다.
멀쩡한 이를 뽑기 때문에 걱정이 되신다는 분도 계십니다. 하지만, 발치를 하고 교정치료를 함을써, 모든 이를 가지고 있는 것 보다, 향상된 기능과 아름다운 치열을 가질 수 있도록 하는 것입니다. 발치가 꼭 필요한 치료에서 이를 뽑지 않고 한다거나 반대의 경우라면 치료는 한계에 부딪히고 이상적인 치료를 할 수 없습니다. 실제로, 교정환자의 60% 이상이 발치를 동반한 치료를 받는 것으로 알려져 있습니다. 보다 나은 기능과 심미를 이루기 위한 하나의 과정이므로 걱정하지 않으셔도 된답니다.
교정치료에 제한된 나이는 없습니다. 과거에는 교정치료의 주된 연령층이 아동과 청소년이었습니다. 하지만 요즘에는 성인들의 교정치료가 늘고 있는 추세이며, 자녀들이 교정치료를 받고 좋아지는 모습을 보면서, 부모님들도 함께 시작하시는 경우도 많습니다. 성장 발육이 왕성한 청소년 시기보다는 조금 천천히 치아 이동을 해야 하지만, 기간의 차이가 많이 나지는 않습니다. 교정치료를 받은 환자분들 중에서, 성인의 경우 치료에 대한 만족도가 더 높은 편입니다. 교정치료를 통해 비뚤거나 돌출된 치아들이 가지런하고 예쁘게 된 그 자체도 좋지만, 평소에 지니던 콤플렉스를 자신감으로 바꾸게 되시는 것이 더 큰 원인인 듯 합니다. 치아의 모습이 마음에 들지 않아, 웃으실 때 입을 가리게 되지는 않으신가요? 교정치료를 통해 자신감있는 환한 미소를 지어보세요.
교정치료를 필요로하게 되는 상황, 즉 부정교합은 턱 성장과 치아발육의 장애로 인한 경우가 대부분입니다. 젖니가 빠지고 영구치가 나오는 과정이 순조롭지 못해도 부정교합이 나타날 수 있습니다.
소아교정치료는 비정상적으로 진행되고 있는 턱뼈의 성장과 치열의 발육을 정상적으로 되돌려놓는 과정이라 할 수 있으며, 성장이 한창 진행중인 어린 나이에 할수록 효율적이고 안정적인 결과를 얻을 수 있습니다.
소아,청소년 교정의 장점은
남아있는 성장과 발육을 이용하여 골격적인 부조화를 해결해 줄 수 있다는 것입니다. 또한 부족한 영구치의 공간을 만들어 주거나 나쁜 습관(손가락 빨기, 구호흡, 혀내밀기 등)에 의해 야기되는 부정교합을 치료할 수 있습니다. 그러므로 성장이 완료된 후라면 수술로 해결해야 하는 심한 골격적인 부조화를 바로잡아 좋은 치료결과를 얻을 수 있습니다.
또한 청소년기는 감수성이 예민한 시기이므로 외모에 대한 콤플렉스를 해결해 주어 심리적 안정에 도움을 줄 수도 있습니다.
그러나 어려운 점은 어린나이에 장치를 착용해야 하므로 부모님의 도움이 절대적으로 필요하고 본인의 협조 또한 매우 중요합니다.
충치예방을 위해서 구강청결에 특히 힘을 써야 하며, 장치를 끼우는 동적인 치료과정 후에도 성장이 완료될 때까지 정기적인 검진이 필요합니다. 교정치료의 시기는 증상에 따라 또 성장단계에 따라 다릅니다. 골격 성장의 문제, 즉 아래턱이 위턱보다 더 앞으로 나와 주걱턱처럼 보이거나 위턱이 너무 튀어나온 경우 혹은 영구치의 정상적인 발육이 방해받는 상황이라면 가능한한 어린시기에 치료를 서두르는 것이 좋습니다.
이러한 경우를 1차 치료라 하는데 턱 성장을 조절하거나 영구치발육을 도와줘야 하는 경우이기 때문에 성장이 멈추기 전에 시도해야 효과를 얻을 수 있습니다.
턱성장이 어느정도 정상화되면 영구치가 모두 나오는 시기까지 기다렸다가 치열 교정을 시작하게 되는데 이를 2차 치료라 합니다.
그러나 전문가가 아닌 이상 골격성장의 문제인지 치열의 문제인지를 식별하는 것은 거의 불가능하므로 아이가 만 4세 정도가 되면 1년에 한번 정도 주기적으로 치과에 내원, 검사를 받으셔서 교정치료의 적기를 놓치지 않도록 하는 것이 좋습니다.
대부분의 교정대상자들은 교정치료만으로도 건강하고 아름다운 치열과 얼굴을 만들어 드릴 수가 있지만,
간혹 윗턱과 아래턱의 부조화가 심하신 몇몇 분은 수술을 동반한 교정치료를 하여야 더욱 좋은 결과를 얻을 수 있습니다.
악교정 수술의 목적은
얼굴 부분의 골격적인 이상을 수술로 바로 잡아 기능적이고 심미적인 얼굴을 만드는데 있습니다.
아래위 치아의 맞물림의 이상이 너무나 심해 교정치료만으로는 치료가 불가능한 경우, 교정치료만 해서는 얼굴 모양의 개선이 불완전할 때 수술을 병행해여 치료합니다.
성장중인 아이들의 경우 교정치료를 통해 골격적인 개선을 하는 등의 방법으로 수술을 피할 수 있지만, 성장이 종료된 성인의 경우 골격 부조화를 개선시켜야 할 경우에 수술이 필요합니다.
치료의 과정은 6-18개월간의 수술전 교정치료로서 삐뚤삐뚤한 치아를 가지런하게 만들고, 아래위 치아들을 각각의 턱뼈에 대해 올바른 위치로 이동시켜 수술후 아래위 치아가 잘 맞도록 위아래 치열의 조화를 맞추고 나서, 수술을 하실 구강외과선생님과 약속을 하게 됩니다.
악교정 수술 후 2-6주 후부터 수술후 교정치료가 시작될 것이고 대략 6개월 내지 1년쯤 걸립니다.
이 시기에는 수술전 교정치료와 수술만으로 완전하게 해결하지 못하는 정밀한 치아이동이 이루어지고 치아가 보다 더 잘 맞물리도록 고무줄을 사용하여 마무리 합니다.
투명교정치료는 철사나 브라켓같은 장치를 사용하지 않고 투명한 플라스틱 교정장치를 통해 교정치료를 하는 방법입니다. 환자의 교정상태에 따라 계속 바꾸어 착용하게 되는데 순차적으로 교정장치를 착용하면 비뚤어진 치아가 조금씩 움직여 나중에는 가지런한 치열을 가지게 됩니다. 투명교정치료는 악골의 이상이 없는 경우 그리고 어금니부위의 교합상태가 좋은 경우에 앞이 부분만 비뚤어졌거나, 공간이 생긴 경우에 가능한 치료법입니다. 또한 교정치료후 재발이 된 경우 재발을 치료하기 위한 방법으로도 사용할 수 있습니다. 따라서 투명교정치료는 다른 교정장치를 사용하지 않고도 가능한지의 여부를 반드시 상담 받으셔야 합니다.
1) 구강청결
물론 교정치료중이 아니라도 칫솔질은 잘 해야 하지만 복잡한 교정장치가 치아에 붙어있는 기간동안은 특히 신경써야 합니다. 교정장치는 구조가 복잡하여 음식물찌꺼기가 치아와 장치 사이사이에 끼기 쉽습니다. 철저하게 칫솔질을 하지 않는다면 치아와 잇몸에 문제가 발생하기 쉽지요. 물론 치료를 시작하고 장치가 장착되면 병원에서 어떤 칫솔로, 어떤 방법으로 닦는 것이 좋은지 자세히 알려드립니다. 하지만 병원에 가는 것은 대개 4-6주에 한번 이므로 이 기간동안 칫솔질을 게을리한다면 충치나 잇몸질환이 생길 가능성이 큽니다. 그럼 교정치료가 충치의 원인이냐구요? 아닙니다. 본인의 게으름이 충치의 원인입니다.
칫솔질을 꼼꼼하게 하지 않으시면 충치나 잇몸질환이 생기는 것 말고도 치아에서 무기질이 빠져나가 푸석푸석해지는 현상이 나타납니다. 이러한 현상을 탈회라고 하며 치아 표면이 허옇게 보이게 됩니다. 어떤 분들은 교정장치 붙였던 자국이 남았다고 불평하시는 분도 있지만 역시 칫솔질을 제대로 하지 못해 생긴 것입니다. 교정치료가 잘 되기를 바라신다면 칫솔질도 열심히 하셔야 합니다. 칫솔은 항상 휴대하는 습관을 가지도록 하세요.
2) 음식
주의만 한다면 음식을 대부분 드실 수 있지만, 몇 가지는 피해야 합니다. 딱딱하거나 질긴 음식, 끈적거리는 음식은 교정용 철사를 변형시키거나 장치를 떨어지게 만듭니다. 이러한 음식들 중 대표적인 것이 땅콩이나 오징어와 같은 것들입니다. 얼음이나 사탕을 깨물어 먹는것도 피하셔야 합니다. 과일과 무김치도 가능하면 잘게 잘라서 드시는 것이 좋습니다. 또 음식을 드신 다음에는 반드시 칫솔질을 하시는 것도 잊지 말아야 합니다.
3) 병원에서 지시 받은대로 고무줄이나 장치를 잘 끼우는 것
또 한가지, 내원약속을 잘 지키는 것이 중요합니다.
교정치료는 정교한 조절이 필수적인 치료입니다. 내원간격이 어긋나면, 생각지 않은 치아의 이동이나 부작용도 생길 수 있습니다. 더불어 치료기간 역시 처음 계획보다 길어질 수 있으므로 정기적인 내원 및 예약 준수가 필수적이라 할 수 있습니다.